A Case Study
Dr Kathryn Parkin DC • 20 August 2020
A Case Study of Interest
I’m often asked why I do what I do. In part my love of Chiropractic comes from a fascination and awe of the human body. It’s a veritable festival of homo sapien phenomena! My 5 year degree taught me a lot about the ins and outs of the human body and amongst other things, typical patient presentations. So, with that fresh in mind, cue graduation and discovering that, more of the time than expected, the human body decides it’s going to behave it’s own way and present atypically to all the books.
 
 
 
 
  
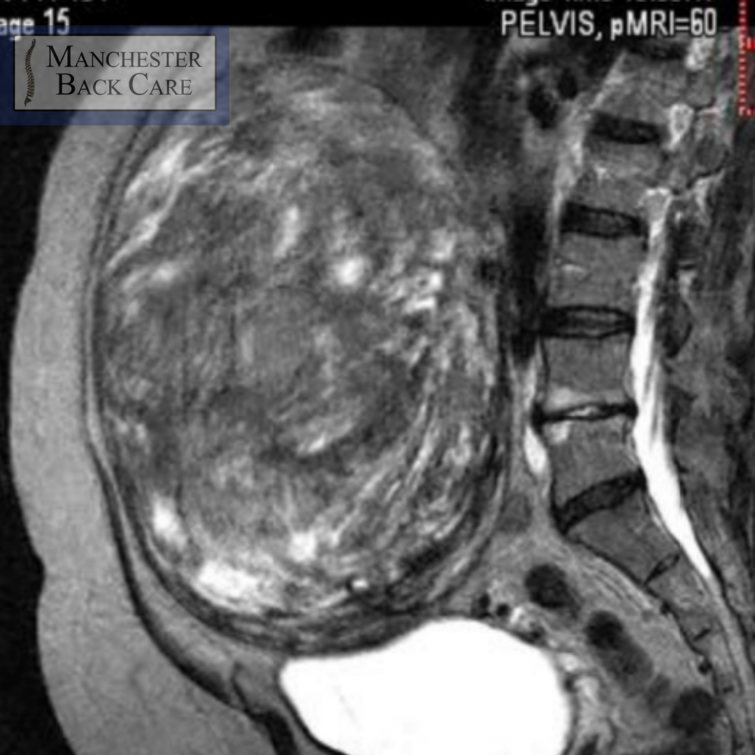
One such fascinating example of the human body’s apparent impertinence towards “the norm” is shown above with the kind permission to display it from one of my patients. At first glance you easily see the outline of the lumbar spine side on. If you look in front of that, then you should be able to make out a very large and grey egg-like structure that spans from the height of the entire lumbar spine and projects forwards. What you re seeing is a relatively common condition – Fibroids.
 
 This particular example is that of only one solitary fibroid and this particular one is gigantic! Certainly the biggest one I’ve ever come across. 
 
 I’m sure many women reading this may well have had fibroids in their lifetime- they are, on the whole, common with around 1 in 3 women developing them. These non-cancerous growths can vary in size from tiny to this which is comparable to a 5 month old foetus or, for fruit fans out there, a Honeydew Melon. 
 
 And what makes this even more fascinating is that the lady in question is, for the most part, asymptomatic despite it! I find it so 
incredible to think that something this large and seemingly so invasive to our bodies can be so inconsequential.
 
 
 For those wishing to know a little more about fibroids they are quite often only discovered via routine gynaecological investigations, however, some women may experience any or all of the following :
 
 *Lower back pain
 
 *Heavy periods or painful periods
 
 *Abdominal pain
 
 *Need to urinate more often
 
 *Constipation
 
 *Pain or discomfort during sex
 
 *Rare cases fibroids can affect pregnancy or cause infertility
 
 As Chiropractors, when someone comes in with low back pain, it’s important that we take a thorough case history inclusive of their medical history no matter how unrelated it might appear, in order to help formulate a correct care plan. As you can see in the list above of possible symptoms from fibroids, lower back pain is right there. 
 
 Although in this particular case study, the lady in question presented with back pain long before the development of this fibroid which, as mentioned before, has itself remained largely asymptomatic despite its enormity. 
 
 But part of our training is to ask a lot of questions. It feels a little like being a detective sometimes and I love it. Even if we are sometimes thrown a honeydew mel.. a curve ball.
 
 
Arthritis is one of the most common causes of joint pain, yet many people don’t realise it refers to over 100 different conditions that affect the joints. The most well-known types include osteoarthritis, rheumatoid arthritis, cervical spondylosis, and ankylosing spondylitis. These conditions can affect people of all ages, often leading to stiffness, inflammation, and reduced mobility.                                                              How Chiropractic Can Help Arthritis                                                              Chiropractic care offers a safe, natural, and non-invasive approach to managing arthritis symptoms. Through gentle spinal and joint adjustments, chiropractors work to:                                                              Reduce joint pain and discomfort                                           Ease inflammation                                                      Improve flexibility and movement                                                      Support a more active lifestyle                                                                         By restoring better movement in the joints, chiropractic treatment can make everyday activities easier and more enjoyable. Many people living with arthritis find regular chiropractic care an effective way to manage pain without relying solely on medication.                                                              Take the Next Step                                                              If you or someone you know is struggling with arthritis or joint pain, our experienced chiropractors are here to help. Contact us today to book your consultation and start your journey toward better mobility and long-term relief.
 

As the school year begins, creating a functional and ergonomic workstation is crucial for maintaining productivity and good health.                                                               Whether it’s for your child’s schoolwork or your own home office, a well-designed space can make all the difference.                                                               We spend a lot of time sitting in today’s world, so making it as kind as we can to our body is very important.                                                               Here are our/my 5 top tips for setting up an efficient and comfortable workstation for both kids and adults.                                                              Ergonomic Seating and Desk Arrangement                               Proper Chair and Desk Height: Make sure that your chair and desk are at the right height. When seated, your feet should be flat on the floor, and your pelvis should be at an angle just above your knees. The desk should allow your forearms to rest comfortably without causing your shoulders to hunch forwards.                                                              Supportive Chair: Invest in a chair that offers good lumbar support. For children, you might consider a chair that can adjust as they grow.                                                              Monitor Height: The top of the screen should be at or slightly below eye level, and about an arm's length away, to prevent eye strain and encourage good posture.                                                              Adequate Lighting                               Natural Light: Whenever possible, position the workstation near a window to utilize natural light. Natural sunlight can improve mood and productivity.                                                              Additional Lighting: Make sure there is adequate extra lighting as the dark nights roll in, such as a desk lamp, to prevent eye strain. Adjustable lamps can help direct light exactly where it’s needed.                                                              Clear and Defined Space                               Dedicated Work Area: A designated work area helps in creating a mental separation between work/school and leisure. For children, having a specific spot for studying can improve focus and organization.                                                              Clear Workspace: Clutter can be distracting and stressful. Keep your desk clear of unnecessary items. A tidy space promotes a tidy mind!                                                              Organized Stationery and Supplies                               Accessibility: Keep essential stationery and supplies within easy reach. Using desk organizers, drawer dividers, and shelves can help maintain order.                                                              Daily Essentials: Encourage children—and remind yourself—to prepare the workstation each day with necessary items like pens, notebooks, and any other required materials. This saves time and reduces frustration.                                                              Regular Breaks and Movement                               Scheduled Breaks: Both children and adults should take regular breaks to move around and stretch. This relieves physical strain and can boost concentration.                                                              Exercise: Implementing short exercises or stretches into the day can improve circulation and reduce the risk of musculoskeletal issues. We can help you by designing a personalised programme for you so remember to get in touch.                                                              We are here to help you!                                                              If you or your child are experiencing discomfort despite these adjustments, it might be time for a professional assessment.                                                               Book an appointment with us to receive personalised advice.                                                              To schedule a session, book in below or contact us via our contact page.
 

When you come in for your first Chiropractic appointment, you might be wondering why so much time is spent asking about your medical history. It can feel like a lot of questions, but there's a very good reason behind it!                                                                          Why Your Medical History Matters                                                                         In Chiropractic, we see the body as a connected, interdependent unit. This means that everything in your body is linked together in some way. If you're experiencing pain in one area, it could be related to an issue somewhere else in your body. By understanding your entire medical history, from past injuries to current medications, we can piece together a complete picture of your health. This helps us to identify not just the symptoms, but the root causes of your problem.                                                                          Diagnosing the Root Cause                                                                         Imagine your body as a complex system of highways. If there's a traffic jam in one area, it can affect the flow of traffic elsewhere. Similarly, a problem in one part of your body can lead to issues in another. Your medical history provides us with the roadmap we need to navigate your unique situation. We want to ensure that our treatments are not just addressing surface-level symptoms,  but are also targeting the underlying causes. This holistic approach is what sets Chiropractic care apart from other treatment modalities.                                                                          Building a Tailored Treatment Plan                                                                         Without a detailed medical history, it would be like trying to solve a puzzle without all the pieces. Knowing about your previous injuries, surgeries, chronic conditions, and even minor ailments helps us customize a treatment plan specifically for you. Each piece of information you provide is crucial in tailoring an approach that works best for your individual needs.                                                                          Your Health Journey is Unique                                                                         Just as no two people are exactly alike, no two medical histories are the same. We value your story and the journey your body has been through. Every detail you share helps us serve you better and create a more effective and comprehensive treatment plan.                                                                          Working Together                                                                         Chiropractors believe both you and we are a team in your journey towards better health. Your openness and honesty about your medical history enable us to provide you with the highest standard of care.                                                              In short, by taking the time to understand your entire medical history, we can deliver more precise, effective care. This collaborative approach ensures that we’re not only alleviating your symptoms, getting to the root cause of the problem, but also promoting long-term wellness and vitality.                                                               Your body is an incredible, inter-connected unit, and we’re here to support every part of it!                                                              For more help please contact Manchester Back Care at Info@manchesterbackcare.co.uk or use the booking button to book in now.
 

Have you ever felt pain in a specific part of your body, only to learn that the real cause was somewhere else entirely?                                                              This puzzling phenomenon is called referred pain, and it’s an experience that can leave many of us scratching our heads.                                                              To make this a little clearer, let’s dive into a typical scenario: Imagine you’re suffering from persistent leg pain. You feel a nagging ache every time you walk or even while resting. After trying various remedies to target your leg, you decide it’s time to see your Chiropractor.                                                              To your surprise, they tell you the source of your pain isn’t in your leg at all, but in your back!                                                              So, how does this happen?                                                              Here’s a straightforward explanation: Referred pain occurs when a problem in one part of your body sends signals to a different area. In our example, an issue in your back, such as a damaged disc, irritates nerves that extend down into your legs. Your nervous system gets a bit mixed up, allowing the sensation of pain to travel from your back to your leg. This mix-up happens because the nerves that carry pain signals from your back and leg enter your spinal cord at the same location, confusing your brain about where the trouble really is.                                                              This can be a bit tricky because it means that treating the symptom (leg pain) directly won’t solve the underlying problem (back issue).                                                              Understanding referred pain is crucial for effective treatment. By addressing the real source of the problem, you will get relief more quickly and prevent further discomfort.                                                              That’s why it’s a really great idea to book in to see your chiropractor.                                                              Chiropractors are highly trained to not just treat your symptoms, but to get to the root cause of your problem and therefore get a proper resolution to your pain.                                                              They know the right tests to do to make sure they come up with the right diagnosis and when treatment is appropriate, or when you might need to be referred for other tests like an xray or a scan.                                                              The key takeaway? Pain isn’t always what it seems. If you’re experiencing unexplained pain, consider that it might be referred pain. Your body works in mysterious ways, but with the right knowledge and experience chiropractors can uncover and treat the real sources of discomfort.                                                              For more help please contact MBC using the book now button, or email Info@manchesterbackcare.co.uk or call us on 07918485080
 

Re-Aligning for Joy!                                                                                          How Chiropractic care can make preparing for the Festivities that bit easier...                                                                                The festive season is upon us, bringing joy, celebrations, and often a whirlwind of activities.                                  While the holidays should be a time of joy, the shear craziness of this period can also take its toll on our bodies and minds. This is where Chiropractic care can help, offering a holistic approach to enhance your wellbeing over this time.                                                                                 The Stress of The Season                                              From shopping for gifts for hours to preparing an enormous feast, the festive season can be physically and mentally demanding. Stress can manifest in various ways, affecting our musculoskeletal system and leading to discomfort or pain. Chiropractic adjustments focus on aligning the spine, promoting optimal nerve function, and reducing tension, providing relief from the physical strain of holiday preparations.                                                                                 Maintaining Energy Levels:                                              With a packed schedule of events and gatherings, it’s understandable to feel fatigued. Chiropractic care can contribute to increased energy levels by assisting with proper alignment of the spine, which in turns facilitates flow of energy throughout the body. A well-aligned spine can also improve sleep function. By maintaining a healthy spine, you are not only supporting your musculoskeletal system but also fortifying your body’s natural defences.                                                                                 Stress Relief and Mental Well-Being                                              Beyond the physical benefits, chiropractic care has been associated with stress reduction and improved mental well-being. As you navigate the sometimes chaotic holiday season, a relaxed body can contribute to a calmer mind. This can enhance your ability to enjoy the festive moments without feeling overwhelmed.                                                                    In conclusion, as you gear up for the festive season, consider incorporating chiropractic care into your wellness routine. Whether you’re seeking relief from physical strain, aiming to boost your defences, or simply looking to enhance your overall well-being, chiropractic adjustments offer a natural and holistic approach. By aligning your spine, you’re not just caring for your body, you re setting the stage for hopefully a joyful and healthy celebration with your loved ones!
 

A Holistic Approach to Alleviating NHS Strain                                          In an time where healthcare systems worldwide are facing increasing strain, new solutions are crucial to alleviate the burden on national health services.                               One such solution gaining recognition is what we do at Manchester Back Care and that's chiropractic care – a holistic approach that holds promise in reducing the strain on the NHS by addressing musculoskeletal issues and promoting overall well- being.                                                              Chiropractic care offers a non- invasive alternative to traditional medical interventions, particularly for musculoskeletal conditions. By focusing on the spine and nervous system, chiropractors aim to enhance the body’s natural healing abilities. This approach can potentially reduce the need for more invasive and costly medical procedures, thereby freeing up resources within the NHS for critical cases.                                                                          As Preventative Care:                                          Chiropractic care emphasises preventive measures to maintain optimal spinal health. Through regular adjustments and lifestyle recommendations, chiropractors work to prevent the development of chronic conditions that could contribute to the growing demand for NHS services. Investing in preventative care may prove cost-effective in the long run by reducing the occurrence of musculoskeletal issues that often lead to more severe health concerns.                                                                          Complimentary Care for Chronic Pain:                                                                                           Chronic pain is a prevalent issue that often results in frequent visits to healthcare providers. Chiropractic care has shown efficacy in managing chronic pain conditions, such as lower back pain. By offering a complementary approach chiropractors can work alongside traditional medical practitioners to address pain and discomfort, potentially reducing the reliance on medication and specialised consultations within the NHS.                                                                                                Accessibility:                                          Chiropractic clinics are often more accessible that specialised medical facilities, allowing people to find care for musculoskeletal issues without adding pressure to the NHS services. This accessibility may contribute to early intervention and timely management of conditions, preventing the escalation of health conditions that could eventually burden the healthcare system.                                                                          Patient Empowerment.                                                      Chiropractors put emphasis on patient education, empowering them to take an active role in their health. By promoting lifestyle changes and providing guidance on ergonomic practices, chiropractic care allows a sense of responsibility for someone’s own wellbeing. This proactive approach can potentially reduce the frequency of healthcare visits for preventable issues, contributing to a more sustainable healthcare system.                                                     Whilst Chiropractic care is not a cure for all health challenges, it’s holistic and patient-centred approach hopefully contributes towards the overall wellbeing of someone and in turn alleviating the strain on the NHS. We feel integrating chiropractic care into the broader spectrum of healthcare services can create a more balanced and sustainable approach to managing the healthcare needs of the population.
 

The relationship between chiropractic care and overall well being is a topic that has gained increasing attention. Whilst traditionally associated with spinal health, chiropractic treatments have been found to have a positive effect on various aspects of the body including the digestive system.                                                                The Nervous System and the Gut Connection                                                                 The nervous system plays a crucial role in regulating bodily functions, including digestion. The spine protects the spinal cord which is part of the nervous system. Misalignments or subluxations in the spine can potentially interfere with the proper functioning of nerves that control digestive processes. By realigning the spine, chiropractors try to restore the flow of nerve signals which may in turn lead to improved gut function.                                  Chronic stress is known to have a negative impact on digestive health. It can lead to muscle tension which can affect the gastrointestinal tract. Chiropractic treatments target areas of tension in the body, thereby helping to alleviate stress and lead to better digestion.                                  Proper blood flow is essential for optimal organ function, including our gut health. Chiropractic care promotes improved circulation ensuring therefore that vital nutrients reach the digestive system. This can also contribute toward better gut health.                                  The autonomic nervous system controls all of our involuntary functions including our digestion. Chiropractic has been shown to influence the balance between the sympathetic (fight or flight) and parasympathetic (rest and digest) parts of that system. By promoting a more balanced state, chiropractic care may help to regulate the digestive processes.                                  Chiropractic is not a replacement for specialised medical treatment but it can complement health strategies. Some patients have reported experiencing relief from digestive symptoms after receiving chiropractic treatments.                                  Conclusion:                                  Maintaining optimal gut health is essential for overall well-being. Chiropractic care provides a holistic approach to supporting the digestive system via its focus on spinal health and the nervous system. Chiropractic may contribute toward improved gut function but as always, it is important to consult a GP before making significant changes to your health.                                  *This blog piece is for informational purposes only and does not substitute for professional medical advice.
 

So great to see Dr Alex George on BBC breakfast recently talking about his exploration of sobriety. Some of my patients will know that I myself opted to go sober a few months back. It’s been a fantastic health choice and one that, happily, I have not struggled with despite opting to start my sobriety right before several infamously boozy times ahead such as the festive season!                     The one thing though that has struck me more than the consequential financial savings, health benefits, increased clarity of thought and energy… has been the question I get asked most about it: “Why?”                               Back in my early 20s I chose to stop smoking and not one person ever questioned it. Rather people congratulated me on giving up what is a potentially addictive, disease inducing, money pilfering habit. But despite alcohol potentially having the same issues*, going sober rarely gets the same congratulatory response.                               Dr George felt that our drinking culture in the UK is auto-enrolled from early on and I agree with him. A lot of us, myself included, grow up learning from our surroundings that if you’re celebrating –you drink! If you’re commiserating –you drink! It’s the weekend – you have drinks! It’s been a long day – Have a drink! It’s been a good/bad day – Drink! It’s a Sunday roast – drink…. The list goes on.                               Therefore, if someone chooses not to consume alcohol it is going against “The norm” and is subsequently questioned.                                                              The road leading up to trying sobriety for myself personally has spanned the best part of several years. It did nt happen overnight. The idea of it would be triggered during various innocuous conversations such as one with my little boy - “Mummy – why do adults get to drink alcohol but children can’t?”  - I did n’t have a great answer for that one! Adults process poison better??...(if you ignore the stats and any hangover you ve ever endured)  Family members- “I’ve never had to see if I can go a month without alcohol just to check that I can. You must drink a lot more than me!” – That last one, going a month sober every so often, was a thing I did every so often a year and one which I know many other people do every so often too. But when I did it, I felt that was me being in control by doing it!                                                              But then: “If you were to tell me you made yourself go without carrots for a month just to check you still could, I’d just assume that you had some kind of problem with carrots”  - That stopped me in my tracks for a moment.                               Now...I don’t think I did have “a problem” in the conventional sense just to be clear. I was nt rolling into work nursing a hangover or wishing the hours away every day until I could get my hands on the next bottle of wine. Nor was I having blackouts/illness or any of the other of the horrendous effects that can be associated with alcohol. However, when I looked objectively at my usage I did notice I was consuming alcohol for a worryingly large array of reasons. And I personally did not like that something had somehow so insidiously embedded itself into my life.                               When I observed my alcohol use more, to my shock, I realised the notion of things such as a weekend with friends without alcohol was now alien to me.  Did I ever take a holiday without expecting alcohol?? The two things seemed to go hand in hand. And Christmas???!  You’ve got to be kidding.                                                     But I realised there did actually used to be a time when I did do all those things without it and I still had a brilliant time! So why not now?? Did I have in fact a problem? I asked myself what benefits did alcohol provide me with if I was being really honest? I decided I felt alcohol was calling the shots (excuse the pun) a little too often and I would not tolerate that anymore.                               So a few weeks before an upcoming big potentially boozy event, before my own birthday and before Christmas, I opted to stop. I told my son that Mummy would not be drinking alcohol anymore and if children were not allowed to drink poisonous substances then neither would I.                                                     Cut to this month - January 2023 – It’s coming up to 4 months sober for me and I have nt lost any of my life whatsoever – if anything I ve gained it as there’s no more groggy mornings, I have more energy and money in my pocket and I can do more without worrying about how I’ll get there and back.                               I still socialise, I still go out and enjoy myself out with friends, I can get through an entire roast dinner without feeling the need to “compliment it” with a drink. I have more clarity of thought and, crucially, I have at no point felt that I’ve been missing out. Not on anything. I'm not saying everyone should be sober just because I've chosen to do so. It's just a personal choice I've made regarding my own health but I can thoroughly recommend it to anyone that might be sober-curious. There are so many more great non-alcoholic drinks out there now and also so many more people opting to be sober now too.                                                     The hardest part for me, and which anyone else thinking of going sober should prepare themselves for, has been needing to sit with difficult emotions. Life can still play difficult cards of course and when alcohol is  no longer there to provide an instant numbing hit, it can be difficult.                       But I've discovered instead, that by identifying emotions, working them through instead of pretending that they’re not there or numbing them, amazingly, I feel I have become a happier and more in control person for it.                                          Will I ever have a drink again? Maybe! But only if I want to. For now the time has felt right for me to stop. And I’m really liking it.  And so is my body.                                                     +                       It is important that for anyone struggling with addiction to alcohol, abruptly stopping is not advised. Please seek appropriate help /speak with your GP about doing so.                                                                  * (9,641 deaths related to alcohol-specific causes registered in the UK in 2021, equivalent to 14.8 deaths per 100,000 people. ONS)
 

Time and time again, I am asked how to have good posture and does it actually matter?                                  I guess the best place to start is by understanding what it is exactly that we mean by ‘posture’                                  Well when I assess someone’s posture, what it is I am doing is looking at the position of                                  that person's body in relation to the center of gravity going through them. I’m looking to                                          see if over the years, their body has created a poor musculoskeletal adaptation surrounding their center                       of gravity.                                                                         Webster's New World Medical Dictionary defines neutral posture as the positioning                       that is attained "when the joints are not bent and the spine is aligned and not twisted.                                  Neutral posture has given rise to the idea of achieving “ideal posture” Ideal posture                                  indicates proper alignment of the body’s segments in so much as the least amount of                                  energy is therefore required to maintain a desired position. And the benefit of                                  achieving this ideal would be that the least amount of stress is then placed on the                                  body’s tissues.                                                                                     That’s great but what does that actually look like then?                                                                                                If we were to look at the body from the side, the shape of the spine should be like a                       lengthened S shape (cervical, thoracic and lumbar spines make up the S) and if you then imagine a                                  plumb line running down from the ear lobe, it should ideally pass though the shoulder,                                  down through the hip, the side of the knee and finally through the knobbly part of the                                          ankle.                               All sorts of factors can contribute                       toward poor posture such as d                                  riving positions, repetitive movement, heeled shoes and obesity                                  to name but a few and these in turn have the potential to lead to other problems such as osteopenia/porosis, breathing difficulty, headaches, joint degeneration...
 

We all have to urinate but we don't always pay much attention to what we excrete. Its really important to pay attention to our urine as it can indicate many diseases. Colour, smell and how often we urinate can tell us an awful lot!                                             What is is and how should it smell?                                               Urine is made by our kidneys filtering wastes and extra water from your blood. It                        doesn’t usually have that much of a strong smell, however some foods such as asparagus for example can change the that to more of a strong, sulphur like smell. And when you’re dehydrated and your urine is subsequently concentrated, it can also smell strongly of ammonia.  Fruity and sweet for example can indicate Diabetes - this is because the body is trying to get rid of the excess blood sugar and is disposing of glucose through your urine                                                                                                                                                                                                                                                                                          How Often is Normal?                                                                                                                                                  As with most things, we are all different, but generally people will empty their bladders between 6 and 7 times a day approximately. Caffeine and alcohol can affect this as can side effects from medications too. Pregnant women and older people quite often need to go more often than others.                                               However, if you notice you suddenly have to go more often than usual, it could be a sign of a health problem such as a UTI, kidney disease, diabetes, an enlarged prostate etc.                                                                                                           So what colour should our urine be?                                                                       Take a look at this handy infographic we've made:
 


